
Se débarrasser de la mauvaise haleine
La mauvaise haleine, bien que peu fréquente dans la vie quotidienne, a été classée comme une pathologie par l'OMS. Qu'il s'agisse de
istardentallab.com
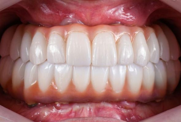
Skip to contentLes restaurations implanto-portées All-On-X sont une technologie avancée conçue pour les patients édentés. Elles sont généralement soutenues par 4 à 6 implants, offrant à vos patients une solution permanente pour restaurer une dentition complète. Le laboratoire d'implants Istar propose des couronnes et des piliers All-On-X personnalisés, avec des pièces de rechange optionnelles disponibles sur demande. Les restaurations Istar All-On-X ont un aspect naturel, sont durables et peuvent durer plus de 15 ans.
Le choix de la configuration All-on-X dépend de l'état bucco-dentaire de votre patient, du résultat souhaité de la restauration et de votre opinion professionnelle. Istar personnalisera l'implant All-on-X en fonction de vos besoins, offrant ainsi la meilleure solution de restauration pour votre patient.
Le All-on-4 est l'option la plus classique, idéale pour les patients présentant une perte osseuse. Elle est simple et efficace.
All-on-5 ajoute un implant supplémentaire par rapport à All-on-4, ce qui améliore considérablement la stabilité et la capacité de supporter le poids. Il est sûr et durable.
All-on-6 offre le soutien le plus stable et l'occlusion la plus naturelle, en répartissant efficacement la force d'occlusion pour réduire la charge sur chaque implant.
Pour les patients qui recherchent une stabilité et un confort ultimes, All-on-8 est le meilleur choix.
Si vous envisagez de vous faire poser des implants dentaires complets dans un laboratoire en Chine, Istar est un choix digne de confiance. Depuis sa création en 2012, Istar se consacre à la fourniture de services dentaires de haute qualité à des prix raisonnables. Nous disposons également d'une équipe d'implantologie expérimentée composée de 10 techniciens, chacun ayant plus de 10 ans d'expérience dans le domaine des implants. Notre expertise a valu à Istar une excellente réputation sur le marché dentaire international.
Les matériaux utilisés pour All On X sont peut-être la première chose que vous considérez. Vous pouvez choisir parmi les matériaux suivants :
Fabriqué à partir de zircone haute résistance, All On X est solide et durable, tout en offrant une excellente esthétique.
Une couche de porcelaine est ajoutée sur la zircone, ce qui renforce sa beauté et lui donne un aspect plus naturel.
PFM All On X associe la solidité du métal à l'esthétique de la porcelaine, ce qui en fait un choix de premier ordre pour la restauration complète de la bouche.
Fabriqués en acrylique ou en résine, ces matériaux sont flexibles, résistants à l'usure et constituent une solution confortable et économique pour une restauration complète de la bouche.

Votre cas est soumis au laboratoire d'implants Istar par le biais d'un scanner intraoral ou d'empreintes traditionnelles. Nous utilisons EXOCAD et 3SHAPE pour planifier avec précision la position de l'implant et le plan d'occlusion. En fonction de vos besoins, nous concevons des piliers, des armatures et des restaurations sur mesure. En optimisant la conception à l'aide d'une bibliothèque de formes de dents, nous garantissons un équilibre parfait entre la fonction, l'esthétique et l'occlusion. La technologie de connexion virtuelle est utilisée pour obtenir une occlusion naturelle, offrant aux patients une excellente expérience de restauration.

Le laboratoire d'implants Istar utilise la technologie de l'impression 3D pour créer des solutions complètes précises et efficaces pour de multiples implants dentaires. Grâce à la numérisation et à l'impression numérique, nous pouvons rapidement produire des restaurations All-on-X personnalisées, en garantissant la cohérence entre la conception et le produit final. L'impression 3D réduit considérablement le temps de production, offrant à vos patients des options de restauration rapides et immédiates, tout en améliorant l'ajustement et l'apparence de la restauration. Notre technologie intégrée rend les traitements plus efficaces et plus précis, offrant une meilleure expérience de restauration implantaire aux patients édentés.
Le prix des implants All-On-X est l'une des choses qui vous intéressent le plus. Istar All-On-X Implants Lab est largement reconnu pour offrir un excellent rapport qualité-prix. Nos solutions d'implants dentaires pour la bouche complète sont non seulement de haute qualité et de conception précise, mais elles vous permettent également de réduire considérablement vos coûts. Nos prix sont souvent inférieurs de moitié à ceux des laboratoires locaux, ce qui vous permet de réaliser plus facilement des restaurations implantaires abordables.
All-on-X est l'une des solutions d'implants dentaires à arcade complète les plus populaires et les plus utilisées aujourd'hui. Le laboratoire d'implants Istar a fourni des services All-on-X personnalisés à plus de 100 cliniques dentaires de premier plan dans le monde entier, se forgeant ainsi une excellente réputation pour sa haute qualité et sa rentabilité. Nous proposons différentes options de matériaux et des plans de restauration de la bouche complète flexibles en fonction de vos besoins, vous aidant ainsi à améliorer la réputation de votre clinique et à accroître la satisfaction de vos patients.


Même pour les cas complexes d'implants All-on-X, Istar Implant Lab utilise une technologie numérique avancée et des processus de production efficaces pour achever le travail en 7 jours environ. Grâce à des accords d'expédition bien établis, le délai d'exécution total est généralement d'environ 10 jours, ce qui améliore considérablement l'efficacité et la satisfaction des clients.
Le laboratoire d'implants Istar suit un processus strict de contrôle de la qualité pour les restaurations All-on-X. Chaque détail, des gencives et des bords aux trous de vis, à la ligne médiane et à l'occlusion, est soigneusement inspecté par notre équipe expérimentée de contrôle de la qualité. Tous les membres de l'équipe ont plus de trois mois d'expérience à chaque étape de la production, ce qui garantit que tous les produits qui vous parviennent répondent à des normes élevées.


La création d'implants dentaires complets repose non seulement sur une équipe de techniciens expérimentés, mais aussi sur une équipe de service à la clientèle professionnelle qui sert de pont de communication. Cela permet de s'assurer que la position de la mâchoire, l'occlusion et les besoins esthétiques de votre patient sont transmis avec précision. Grâce à une communication précise et à l'intégration des informations par l'équipe du service clientèle de Istar, chaque exigence de conception sera incorporée de manière transparente dans la restauration All-on-X finale.





La mauvaise haleine, bien que peu fréquente dans la vie quotidienne, a été classée comme une pathologie par l'OMS. Qu'il s'agisse de

En cas de perte de dents, en particulier après la perte de plusieurs dents ou d'une dent complète, les prothèses dentaires amovibles sont devenues une méthode vitale pour restaurer la mastication.

De la naissance à l'apparition de la première dent de lait, les individus sont confrontés au risque de carie dentaire, l'une des principales causes de mortalité chez les enfants.